티스토리 뷰
임플란트 부작용은 장기 적인 치료나 재수술로 이어지는데 무리한 시술. 충분한 사전 치료 없이 강행하는 치료방식. 경험과 노하우가 부족한 의사등 잘못된 식립으로 인한 부작용과 환자의 잘못된 사후관리 . 임플란트 보철의 문제등 크게 3가지로 나뉜다. 환자의 상태에 따라 보정 치료를 하거나 심하면 발치를 하는 경우가 있으니 반드시 꼼꼼하게 치료 후 임플란트 식립을 해야만 부작용이 없다.

특히 심한 치주염 등으로 인해 치주 상태가 좋지 않다면 튼튼한 치아까지 손상될 우려가 있으므로 식립전 여러 치과 상담을 통해 자신의 치아상태를 정확히 파악해야 하고 노인 치료라면 보호자를 동행해서 상담 받거나 진료기록을 받아 놓는 것을 권한다.
임플란트 부작용 주위염
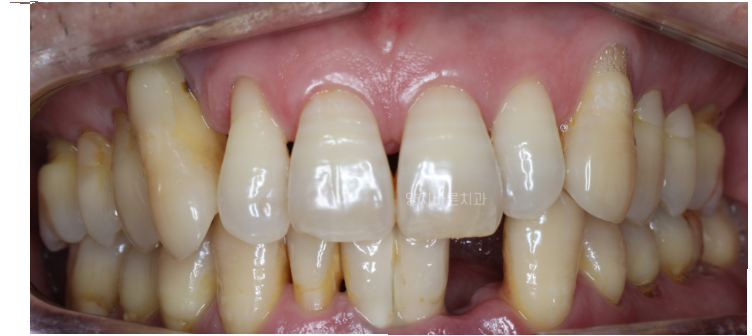
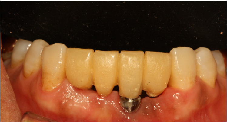
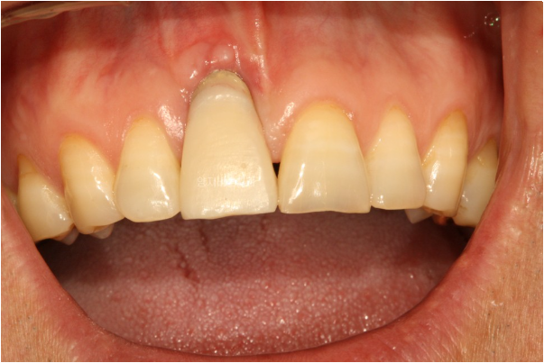
임플란트의 대표적인 부작용은 바로 임플란트 주위염 이다. 임플란트 주위염은 대부분 시술환자들에게서 나타나는 임플란트 시술주위에서 생기는 염증을 말한다. 시술 후에는 출혈과 붓기가 한동안 지속되기 때문에 처치의 나 환자도 식립과정에서 생기는 당연한 현상으로 치부해 버리는 경우가 있다.
▶임플란트 주위염은 치주염과 혼동이 되기도 하는데 임플란트 주변의 잇몸과 뼈에 세균에 감염되 발생하는 감염성 질환, 염증을 나타내는 것이다.
▶임플란트 주위염은 염증세포가 침윤된 결합 조직의 면적이 치주염보다 넓지만 흡연과 당뇨, 불량한 구강위생이 원인이라는 공통점이 있다.
▶임플란트는 치간에 음식물이 잘 끼고 초기에는 통증으로 칫솔질 등이 힘들어 관리가 소홀해 감염된다.
▶흡연과 음주로 인한 염증
※ 임플란트 시술뒤에는 통증이나 증상이 없더라도 정기적으로 검진을 받고 스케일링을 받아야 한다.
또 식사 후 양치질 전 후 치간칫솔이나 치실을 이용해서 치석 예방 꼼꼼하게 관리해야 한다.
임플란트 보철 관련 부작용
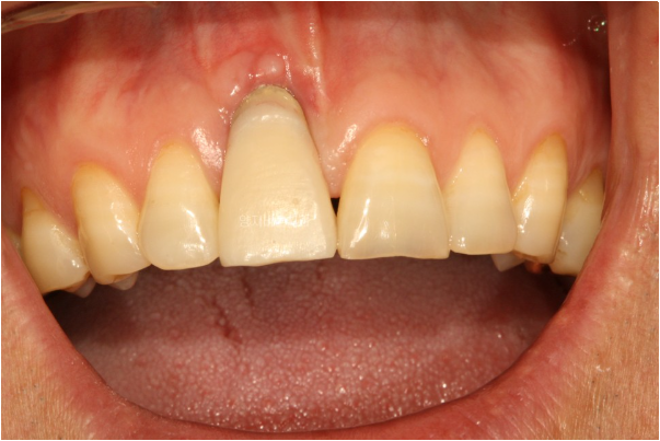
임플란트의 대표적인 부작용 중 식립 한 보철의 불량이 문제가 되는 경우가 있다. 보철이 주변 치아와 어울리지 않는 색상이 되는가 하면 주변 치아를 밀어내거나 한다. 임플란트 식립은 잘됐는데 보철 때문에 교합에 문제가 생기는 부작용 사례가 빈번하게 발생하는 경우이다.



임플란트 무리한 치료 부작용
임플란트의 대표적인 부작용 구강상태를 경험해 본 의사라면 다양한 상황에 대해 적절한 치료계획을 세운 후 상담과 충분한 식립 전 치료 과정을 계획해야 한다.
1. 치조골이식술 부작용
▶잇몸 뼈 손실로 치조골 이식을 해야 하는데 치료과정에서 이식이 제대로 되지 않았음에도 무리한 식립을 한 경우가 많다.


2. 상악동 거상술 부작용
상악동거상술은 치조골을 적정량 이식해야 하고 염증이 생기지 않도록 조치해야 하는데 얇고 손상되기 쉬운 상악동막의 천공이 생기는 경우가 많다.


임플란트 치과 선택 꿀팁
임플란트는 시술만큼 시술 후 부작용을 겪는 사례가 많다. 긴 시간 만만치 않은 비용을 들였음에도 다시 치료과정을 반복해야 한다면 낭패가 아닐 수 없다.
1. 최소 3군데 이상 상담을 받아보자.
치아치료는 대부분 더 이상 참지 못하는 고통이 와야 병원을 찾게 되는 것이 대부분이다. 아프고 급한 마음에 서두르다 보면 집 가까운 곳, 비용이 저렴한 곳으로 마음이 쏠리기 마련이다. 하지만 치료과정이 길게는 2~3년 이상 소요되는 경우도 있으므로 첫 단추를 잘 끼워야 한다.
2. 의사의 경험, 노하우를 최우선으로 고려하자.
병원을 고려할 때 의사의 경험과 노하우보다는 의사의 학력과 병원규모를 중요시하는 경우가 많다. 하지만 치과치료는 고도의 정교하고 정확한 기술력을 요하는 치료이기 때문에 상담 사례 등을 꼼꼼히 챙기고 사전 질문을 만들어 가는 것도 좋은 방법이다.
3. 진료기록을 챙기자.
진료기록을 챙기고 사전에 찍는 파노라마 사진등을 챙겨 받아 보면 진료 상담만큼 진료의 에 대한 신뢰도 쌓이게 된다. 진료 기간이 길고 식립후 정기 검진 등도 해야하므로 진료의에 대한 신뢰가 중요하다.
